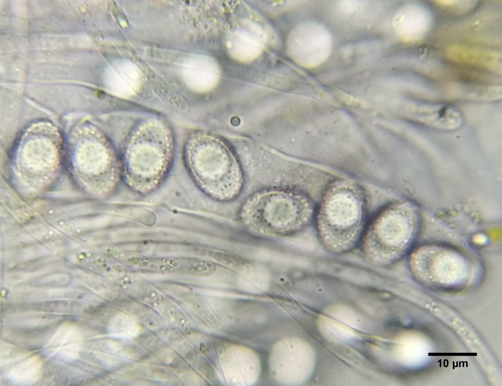
Hosts: Bryaceae. Here, possibly Bryum subapiculatum.
Previously known as Octospora melina var. melina – Dennis & Itzerott (1973)



References
- Dennis, R.W.G., & Itzerott, H. (1973). Octospora and Inermisia in Western Europe. Kew Bulletin, 28(1): 5-23
- Yao, Y.-J., & Spooner, B.M. (1996). Notes on British species of Octospora. Mycol. Res. 100(2): 175-178